
Τι είναι οι πολύποδες της μήτρας;
Οι πολύποδες του ενδομητρίου είναι καλόηθα μορφώματα εντός της μήτρας, στην ενδομητρική κοιλότητα, και εμφανίζονται σε 1 στις 10 γυναίκες καθώς είναι ορμονοεξαρτώμενοι.
Συνήθως συνδέονται με το ενδομήτριο, δηλαδή με την εσωτερική επένδυση της κοιλότητας της μήτρας, μέσω μικρού μίσχου. Σπανίως έχουν καρκινικά κύτταρα στην επιφάνεια τους και εμφανίζονται πιο συχνά σε γυναίκες άνω των 40 ετών. Σε ποσοστό 75% είναι καλοήθεις, ενώ το υπόλοιπο ποσοστό αφορά σε προκαρκινικές αλλοιώσεις απλής υπερπλασίας, σύνθετης υπερπλασίας και υπερπλασίας με ατυπία. Το ποσοστό καρκίνου σε πολύποδα είναι μέχρι 3% και αυξάνει μετά την εμμηνόπαυση.
Τι συμπτώματα έχουν οι πολύποδες της μήτρας;
Οι πολύποδες της μήτρας μπορεί να μην έχουν συμπτώματα και έτσι η γυναίκα να μην αντιληφθεί την ύπαρξη τους. Μπορεί όμως και να προκαλέσουν:
1. ανώμαλη αιμορραγία από τον κόλπο σε μέρες του κύκλου που δεν αναμένεται η περίοδος της γυναίκας
2. αίμα μετά από τη σεξουαλική επαφή
3. βαριές περιόδους
4. υπογονιμότητα
Πώς γίνεται η διάγνωση του πολύποδα της μήτρας;
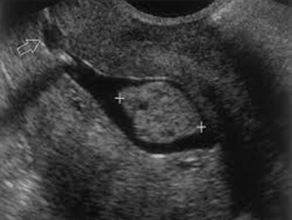
Οι πολύποδες της μήτρας μπορούν να διαπιστωθούν με το διακολπικό γυναικολογικό υπερηχογράφημα αφού η μέθοδος αυτή έχει μεγάλη ευκρίνεια. Σε περιπτώσεις όπου το γυναικολογικό υπερηχογράφημα δείξει ή υποψιαστεί ενδομήτριο πολύποδα, η τελική διάγνωση γίνεται με τρισδιάστηατη υδρουστερουπερηχογραφία (3D SONO) στο ιατρείο χωρίς νάρκωση αφού δεν προκαλεί πόνο,
ή με υστεροσκόπηση και αφορά στην είσοδο από τον κόλπο μικροσκοπικής κάμερας για να φωτογραφηθεί ουσιαστικά όλο το εσωτερικό της μήτρας και ο πιθανός πολύποδας.
Με τη μέθοδο αυτή μπορεί να βρεθούν και ινομυώματα, καρκίνος και συγγενείς ανωμαλίες της μήτρας, και κατά συνέπεια να γίνει η έγκαιρη αντιμετώπισή τους.
Εικόνες απο πολύποδες ενδομητρίου με τις δύο παραπάνω μεθόδους.
Ποιά είναι η θεραπεία του πολύποδα της μήτρας;
Η θεραπεία του πολύποδα της μήτρας είναι η αφαίρεσή του. Αυτό μπορεί να γίνει κατά τη διάρκεια της υστεροσκόπησης, καθώς βλέπουμε άμεσα τον πολύποδα και μπορούμε να τον αφαιρέσουμε ή με την κλασσική απόξεση της μήτρας.
Ο έλεγχος συνεπώς της μήτρας για πολύποδες είναι εφικτός και αποτελεσματικός καθώς στις περισσότερες περιπτώσεις δεν χρειάζεται εισαγωγή στο νοσοκομείο και η αφαίρεση των πολύπόδων προλαμβάνει τον καρκίνο του ενδομητρίου, βελτιώνει τη γονιμότητα και θεραπεύει πιθανές ανωμαλίες της περιόδου.