
Η υστεροσκοπική και λαπαροσκοπική χειρουργική αποτελεί τεχνολογική επανάσταση στη χειρουργική. Οι ενδοσκοπικές αυτές επεμβάσεις πλεονεκτούν έναντι των παλαιότερων μεθόδων «ανοικτής κοιλιάς» διότι:
• Η νοσηλεία είναι ολιγόωρη ή μονοήμερη.
• Αποφεύγεται η λαπαροτομία (διάνοιξη της κοιλιάς).
• Μειώνεται ο κίνδυνος δημιουργίας μετεγχειρητικών συμφύσεων.
• Ο μετεγχειρητικός πόνος είναι ελάχιστος.
• Το αισθητικό αποτέλεσμα είναι άριστο (δεν υπάρχουν εξωτερικές μετεγχειρητικές ουλές στο δέρμα της κοιλιάς).
• Η διάρκεια της επέμβασης είναι σημαντικά μικρότερη σε σχέση με τη λαπαροτομία.
• Αποφεύγεται η διάνοιξη της κοιλότητας της μήτρας στην υστεροσκοπική χειρουργική.
• Η επάνοδος στην καθημερινή δραστηριότητα και στην εργασία είναι γρήγορη.
Ο ρόλος της υστεροσκόπησης για τη διάγνωση και τη θεραπεία της υπογονιμότητας είναι πολύ σημαντικός. Με την υστεροσκόπηση μπορούμε να δούμε την κοιλότητα της μήτρας, δηλαδή τον χώρο που θα υποδεχθεί το έμβρυο και που θα υποστηρίξει την ανάπτυξή του. Υπάρχουν παθολογικές καταστάσεις των γυναικείων γεννητικών οργάνων που δεν είναι δυνατόν να διαγνωστούν με καμία άλλη μέθοδο, παρά μόνο με την υστεροσκόπηση, για παράδειγμα η ενδομητρίτιδα.
Σε σημαντικό ποσοστό υπογόνιμων γυναικών οι παθολογικές αυτές καταστάσεις είναι δυνατόν να παραμένουν αδιάγνωστες για μεγάλο χρονικό διάστημα. Πολλές από αυτές τις παθολογικές καταστάσεις μπορούμε και πρέπει να τις θεραπεύουμε κατά τη διάρκεια της ίδιας επέμβασης, με την ίδια αναισθησία.
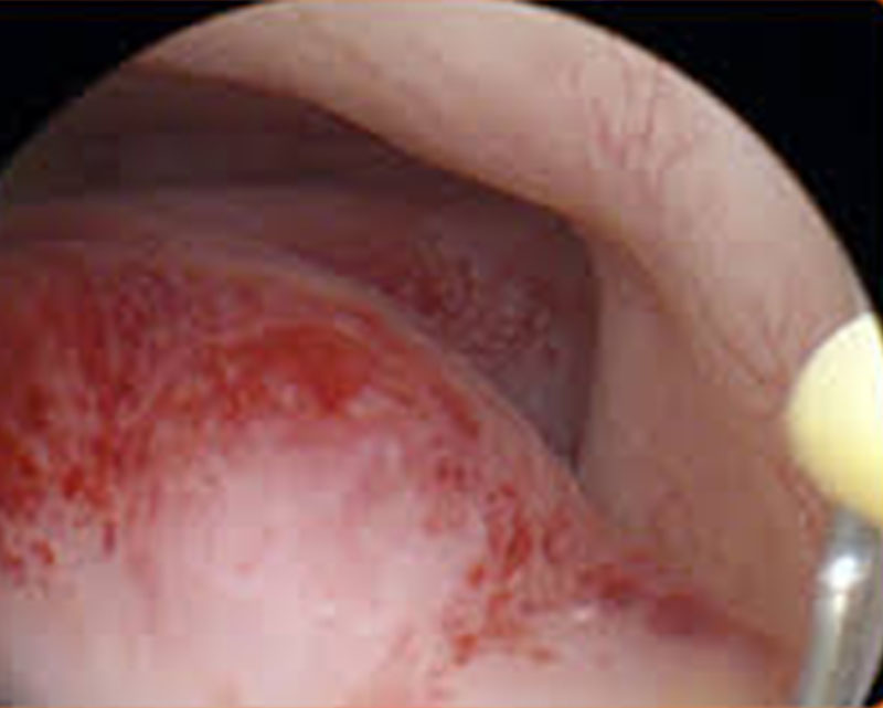
Ειδικότερα, η υστεροσκόπηση είναι μια ειδική εξέταση με την οποία μπορούμε να παρατηρήσουμε την κοιλότητα της μήτρας, το ενδομήτριο, τα μητριαία στόμια των σαλπίγγων και τον αυλό του τραχήλου. Είναι σχεδόν ανώδυνη και διαρκεί λίγα λεπτά, ενώ σε ελάχιστες περιπτώσεις ασθενών με έντονο άγχος, μπορεί να χορηγηθεί ελαφρά αναλγησία (μέθη). Η προσέγγιση της κοιλότητας της μήτρας γίνεται δια μέσου του κόλπου και του τραχήλου, χωρίς τομή ή τραυματισμούς. Αυτό επιτυγχάνεται με τη βοήθεια του υστεροσκοπίου, που είναι ένα είδος «τηλεσκοπίου» μικρής διαμέτρου (2,9-4 mm). Στο υστεροσκόπιο προσαρμόζεται ειδική βιντεοκάμερα πολύ μικρού βάρους, που χρησιμεύει για την απεικόνιση και την καταγραφή της επέμβασης σε video.
Η υστεροσκόπηση προσφέρει τη δυνατότητα άμεσης επισκόπησης της κοιλότητας της μήτρας για ακριβή διάγνωση κατά την οποία μπορούμε να παρατηρήσουμε:
• Τη μορφολογία (μέγεθος και σχήμα) της κοιλότητας της μήτρας.
• Τα μητριαία στόμια των σαλπίγγων.
• Την υφή και την ανάπτυξη του ενδομητρίου.
• Τον τραχηλικό σωλήνα (ενδοτράχηλο).
Η υστεροσκόπηση υπερτερεί της υστεροσαλπιγγογραφίας (ΥΣΓ)σε ευαισθησία και εξειδίκευση κατά τη διερεύνηση της υπογονιμότητας και των επανειλημμένων αποβολών, ενώ ταυτόχρονα αποτελεί σημαντικό εργαλείο στη διάγνωση και θεραπεία της υπογονιμότητας, διότι έχει βρεθεί ότι σε ποσοστό έως και 62% των υπογόνιμων γυναικών υπάρχει παθολογία της ενδομητρικής κοιλότητας.
Συνεπώς, η υστεροσκόπηση ενδείκνυται στις παρακάτω περιπτώσεις:
• Καθ’έξιν αποβολές
• Ενδομητρικές συμφύσεις
• Υποβλεννογόνια ινομυώματα
• Πολύποδες
• Διάφραγμα ενδομητρικής κοιλότητος
• Ξένα σώματα, σπιράλ
• Υπερπλασία του ενδομητρίου
• Μητρορραγίες
• Υποψία καρκίνου του ενδομητρίου
Επιπρόσθετα, υστεροσκόπηση προτείνεται:
1. Για διερεύνηση υστεροσαλπιγγογραφικού ή υπερηχογραφικού ευρήματος που αφορά: συμφύσεις, πολύποδα, υποβλεννογόνιο ινομύωμα, συγγενή ανωμαλία.
2. Σε επανειλημμένες αποβολές.
3. Μετά από αποτυχία κυήσεως σε δύο συνεχόμενους κύκλους εξωσωματικής γονιμοποίησης.
4. Σε ιστορικό αποβολών, εκτρώσεων, επεμβάσεων στην κοιλότητα της μήτρας.
5. Για διερεύνηση ανεξήγητης υπογονιμότητας σε συνδυασμό με λαπαροσκόπηση.
6. Ως μέθοδος ρουτίνας πριν την εξωσωματική γονιμοποίηση (προτείνεται από αρκετούς ειδικούς), ιδιαίτερα όταν δεν υπάρχει υστεροσαλπιγγογραφία.
Αξίζει να σημειωθεί ότι σε σημαντικό ποσοστό γυναικών με φυσιολογική υστεροσαλπιγγογραφία αποκαλύπτεται παθολογία της ενδομητρικής κοιλότητας όταν υποβληθούν σε υστεροσκόπηση.
Ωστόσο, η υστεροσκόπηση αντεδείκνυται στις ακόλουθες περιπτώσεις:
• Ενεργός ενδομήτρια ή πυελική φλεγμονή
• Πρόσφατη διάτρηση μήτρας μετά από επέμβαση
• Κύηση
• Μεγάλη και αθρόα αιμορραγία
• Καρκίνος τραχήλου