
Η υστεροσαλπιγγογραφία είναι μια ειδική ακτινογραφία κατά την οποία, χρησιμοποιώντας το κατάλληλο σκιαγραφικό υλικό, μπορούμε να “αποτυπώσουμε” τη μήτρα και τις σάλπιγγες. Πραγματοποιείται σε ειδικά επανδρωμένο, και με τον κατάλληλο ιατρικό εξοπλισμό ακτινολογικό τμήμα μίας κλινικής ή κάποιου διαγνωστικού κέντρου που παρέχει τη συγκεκριμένη υπηρεσία.
Για ποιους λόγους γίνεται η εξέταση:
Στην περίπτωση που η γυναίκα δεν μένει έγκυος ενώ το σπέρμα είναι φυσιολογικό.
Στα πλαίσια ελέγχου πριν από σπερματέγχυση ή έξωσωματική γονιμοποίηση.
Μετά από σαλπιγγίτιδα / λοιμώξεις από χλαμύδια ή γονόκοκκο.
Στην περίπτωση επαναλαμβανόμενων αποβολών.
Για τον έλεγχο ανατομικών ανωμαλιών της μήτρας, όπως δίκερη ή δίδελφη μήτρα ή ύπαρξη ενδομητρίου διαφράγματος.
Για περαιτέρω διερεύνηση παθολογικών ευρημάτων στο υπερηχογράφημα, πχ. ενδομητρικοί πολύποδες, ινομυώματα.
Τι γίνεται κατά τη διάρκεια της εξέτασης:
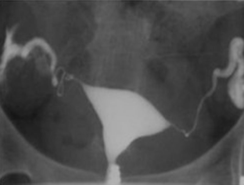
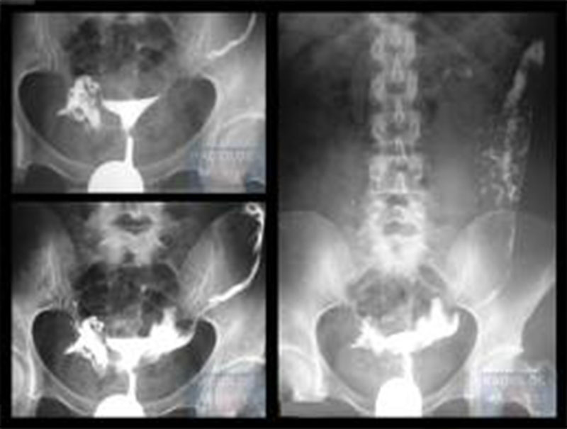
Αρχικά η γυναίκα καλείται να ξαπλώσει σε ένα ειδικό ακτινολογικό τραπέζι κάτω από ένα μηχάνημα ακτίνων Χ. Στη συνέχεια, τοποθετεί τα πόδια της σε στηρίγματα, σαν να επρόκειτο να ακολουθήσει τεστ Παπ. Ένα εργαλείο που ονομάζεται κολποδιαστολέας τοποθετείται στο άνοιγμα του κόλπου, με τη μικρότερη δυνατή ενόχληση. Αφού ο τράχηλος καθαριστεί και προετοιμαστεί κατάλληλα, στη συνέχεια ο εξειδικευμένος ακτινολόγος τοποθετεί ένα λεπτό και μαλακό σωλήνα (καθετήρα) στο στόμιο του τραχήλου. Στη συνέχεια, η σκιαγραφική ουσία ρέει μέσω αυτού του σωλήνα, “γεμίζοντας” με αυτόν το τρόπο τις κοιλότητες της μήτρας και των σαλπίγγων. Κατά το σύντομο αυτό χρονικό διάστημα που οι κοιλότητες “γεμίζουν” με το σκιαγραφικό υλικό (5-10 λεπτά) λαμβάνονται στοχευμένα ακτινογραφίες.
Ο ρόλος του ιωδιούχου υδατοδιαλυτού σκιαγραφικού υλικού, είναι να αποτυπώσει αυτές τις περιοχές (μήτρα και σάλπιγγες) με ακρίβεια στις ακτινογραφίες. Ορισμένες φορές, κατά τη διαδικασία της εξέτασης, η γυναίκα μπορεί να χρειαστεί να αλλάξει θέση προς το Αριστερό ή Δεξιό πλάγιο, προκειμένου να γίνουν καλύτερα κάποιες λήψεις. Συνήθως, ανάλογα βέβαια και με τα ευρήματα, η εξέταση ολοκληρώνεται με μια ακτινογραφία της ασθενούς σε όρθια θέση, προκειμένου να διαπιστωθεί πως το σκιαγραφικό υλικό έχει τελικά περάσει εξ’ολοκλήρου στη περιτοναϊκή κοιλότητα και δεν έχουμε κάποια κατακράτηση υγρού στις σάλπιγγες ( πχ σε περίπτωση συμφύσεων).
Πώς να προετοιμαστείτε κατάλληλα για την εξέταση αυτή:
Η εξέταση αυτή πραγματοποιείται ιδανικά, με τα πιο αυστηρά κριτήρια, 9η-11η ημέρα του έμμηνου κύκλου, πριν την ωορρηξία (8η -12η με μεγαλύτερη ανοχή).
Το ζευγάρι απαγορεύεται να έρθει σε σεξουαλική επαφή στον κύκλο αυτό, πριν πραγματοποιηθεί η σαλπιγγογραφία. Έστω και υποψία εγκυμοσύνης αποτελεί αντένδειξη για την εξέταση αυτή.
Για τη δοκιμασία αυτή χορηγείται προληπτικά αντιβίωση, για την αποφυγή λοιμώξεων. Επίσης, είναι σκόπιμο να χορηγηθούν ήπια αναλγητικά ή/και αντιφλεγμονώδη φάρμακα περίπου μία ώρα πριν τη διαδικασία, που θα βοηθήσουν τη γυναίκα να χαλαρώσει και θα ελαττώσουν τον πόνο σε περίπτωση παθολογικών ευρημάτων.
Επίσης, η εξέταση αυτή δεν πρέπει να πραγματοποιείται σε γυναίκες που πάσχουν από φλεγμονώδη πυελική νόσο ή αντιμετωπίζουν ανεξήγητη κολπική αιμορραγία.
Σε κάθε περίπτωση, πρέπει να ενημερώσετε το γιατρό σας αν έχετε αλλεργία σε κάποια φαρμακευτική ουσία.
Την ημέρα της εξέτασης η γυναίκα μπορεί να φάει και να πιεί κανονικά. Απλά, καλό είναι, δυο τρεις μέρες πριν, να αποφύγει οτιδήποτε μπορεί να προκαλέσει δυσφορία/τυμπανισμό στην κοιλιακή χώρα. Όσο πιο χαλαρή είναι η γυναίκα, τόσο ευκολότερα πραγματοποιείται η εξέταση.
Από πλευράς πόνου, που είναι και η πιο συχνή ανησυχία των γυναικών, σε γενικές γραμμές και με την κατάλληλη προετοιμασία, η εξέταση είναι καλά ανεκτή και οι περισσότερες γυναίκες νοιώθουν “κάτι” σαν κράμπες και “πονάκια” περιόδου, τόσο κατά τη διάρκεια της εξέτασης, ίσως όμως και αργότερα. Μεγαλύτερη ένταση πόνου νοιώθουν κατά κανόνα οι γυναίκες που παρουσιάζουν παθολογικά ευρήματα, πχ συμφύσεις στην ενδομητρική κοιλότητα ή/και αποφραγμένες ή περιορισμένης διαβατότητας σάλπιγγες. Μετά το τέλος της εξέτασης η γυναίκα είναι ελεύθερη να επιστρέψει στα καθήκοντα της, ακόμα και στην εργασία της εφόσον νοιώθει καλά και το επιθυμεί.
Ορισμένες φορές, αμέσως μετά την υστεροσαλπιγγογραφία ή και 24-48 ώρες αργότερα, η γυναίκα μπορεί να παρουσιάσει μια ελάχιστη ποσότητα αίματος, γεγονός που είναι απόλυτα φυσιολογικό και αναμενόμενο. Μόνο στην περίπτωση που η αιμορραγία είναι έντονη, ή η γυναίκα αναπτύξει έντονο πόνο στην περιοχή ή πυρετό, τότε χρειάζεται να συμβουλευτεί άμεσα το γιατρό της.
Όσον αφορά την ακτινοβολία στην οποία εκτίθεται η γυναίκα κατά τη διάρκεια της εξέτασης, είναι πάρα πολύ μικρή. Σε όλες τις μελέτες που έχουν γίνει, έχει βρεθεί πως δεν προκαλεί προβλήματα στα έμβρυα, για το λόγο αυτό δεν υπάρχει κανένα πρόβλημα ακόμα και αν η γυναίκα συλλάβει αμέσως μετά την εξέταση, στη διάρκεια του ίδιου έμμηνου κύκλου. Μάλιστα, όχι μόνο δεν υπάρχει πρόβλημα, αλλά προσπαθούμε να εκμεταλλευτούμε και τη “θεραπευτική” δράση της σαλπιγγογραφίας στον ίδιο κύκλο ή και δύο τρεις κύκλους μετά.
Θεραπευτική, γιατί όπως περνάει το σκιαγραφικό υλικό μέσα από την κοιλότητα της μήτρας και τις σάλπιγγες (ας μου επιτρέπει στο σημείο αυτό η φράση που θα ακολουθήσει μα είναι η πιο χαρακτηριστική), κι εφόσον δεν υπάρχουν σοβαρά παθολογικά ευρήματα, το συγκεκριμένο λοιπόν υγρό δρα όπως το Tuboflo στους παλιούς και βρώμικους σωλήνες, “καθαρίζοντας” και “ξεβουλώνοντας” τις σάλπιγγες, αφού τυχόν μικροσυμφύσεις και μικροαποφράξεις λύνονται και διασπώνται αντίστοιχα.